コスパ、タイパ
こんにちは。院長の重之です。
皆さん日頃からコスパやタイパを意識することありませんか?わたしは結構意識して過ごしています。
最近の出来事でいうと、ディズニーランドで160分待ちとなっているアトラクションに乗るためにランド内に入ってすぐにディズニーアプリからそのアトラクションのパスを購入します。そうすることで、160分待ちが解消されるということです。
全てにおいて適応されものではないため数十分待つこともあります。

コスパ、タイパはディズニーだけでなく日常にも潜んでいます。
それは歯科においても意識するところではあります。
残念ながら当院はタイパに関しては悪い歯科医院なんじゃないかと…理由を考えてみましょう。
1) 予約が取りづらい
まずはこれが起点となりますね。
ここ数年、気仙管内、お隣気仙沼市では歯科医院の閉院が相次いでいます。それに伴いそれらの歯科医院に通っていた患者さんは新たな歯科医院を探さないといけません。現在開業している歯科医院に多くの患者さんが分散し、結果予約はどんどん埋まります。
2) 診療をできるだけ丁寧に。
以前は15分で一人の患者さんの治療をする!なんてことはありましたが、わたしの実力不足かもしれませんが、その短時間でできる治療には限りがあります。また当院を訪れる多くの患者さんは口腔内に多くの問題を抱えています。
そのような患者さんを15分で終わらせてもいいのですが、逆にそれをすることで「何回通うんだ」という気持ちを生ませてしまうこともあります。
まぁすでに何回通うんだ…と思っている、思われているだろうとは想定されますが、一回で何ヶ所か治療ができれば少しは通院回数は減らせます。
一方では、
一本の歯の治療で1時間かかることもあります。マイクロスコープを用いた根管治療は特に時間を使います。
ただ、丁寧に実施することで2〜3回で精度よく根管治療を終わらせることができています。
早い、そこそこの根管治療では良好な成績はついてきません。
数年後再発してまた根っこの治療…、それも終わったと思ったら、また数年後再発…なんてこともあります。丁寧な治療が重要です!

3) 丁寧な説明
話が長い!なんて言わないでください笑
歯科治療と言っても様々な治療法があり、その患者さんにとって良い方法を提案しています。
治療費がどれぐらいかかるかどうかも大事なことではありますが、その人がどう治していきたいかを考えることが重要です。
そのヒアリングから始まり、治療方法、治療にかかる費用それらをわかりやすく伝えるために時間を作っています。

4) 患者さん一人あたりの治療箇所が多め
単に虫歯を一箇所削って詰める程度であれば簡潔に済みますが、歯がなくなったところへインプラントや、インプラントするための骨を増やす手術、被せ物のやり直しなどなど問題がある部位が多ければ多いほどタイパは悪くなります。

上記したように短期間での視点をもったとき当院のタイパは悪くなりがちですが、長期的な目線で人生を見た時には治療後歯が長持ちしていたり、入れ歯の調整が少なく済んでいたり、なんでも噛める環境が長く続くようになったりとコスパ、タイパが良くなるように意識して治療にあたっています。
ちなみに当院では、コスパ、タイパともに金属床義歯が1番いいかなと考えています。
当院でのインプラントはコスパ、タイパともに短期的には悪いですが、中・長期的には良い代表的な治療方法です。
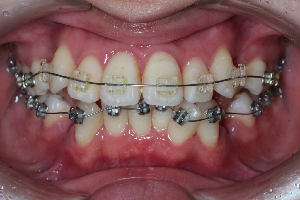
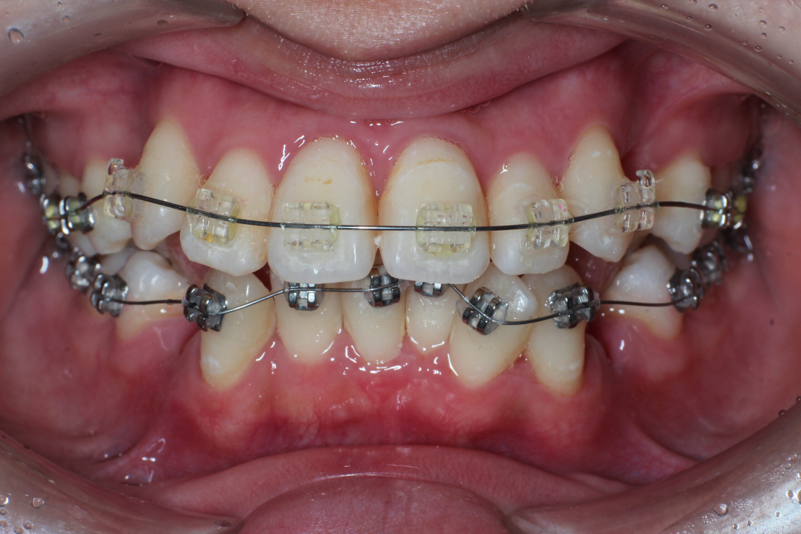
また最近取り組み始めた矯正治療はインプラントと同じです。歯並びを整えるまでは時間がかかるけど、整ってからは自分の歯が長持ちする環境が整ったことにもなり長期的にはコスパタイパは良いかと。

短期間でのコスパ、タイパをあげるか、中・長期的なコスパ、タイパをあげるかは患者さん次第なところはありますが、当院の方針としては中・長期的なコスパ・タイパをあげるような治療方法を主に提案しています。


